menu
治療コンセプト
前歯のインプラント治療について
なぜソケットリフトなのか?
インプラント治療症例:ソケットリフト法
骨造成、骨移植をしないインプラント治療
Dr.岸本の治療の考え方・治療概論
インプラント治療論文・Articles(English)
インプラント治療における学会発表2007〜2016
インプラント活動の記録
精密・正確な治療へのこだわり
インプラント治療料金
自費治療料金
治療のご相談
お問い合わせ
院長紹介
アクセスと診療時間
サイトマップ
インプラント概論
8.31
2016
Share
+1
Hatena
RSS
Share
+1
Hatena
RSS
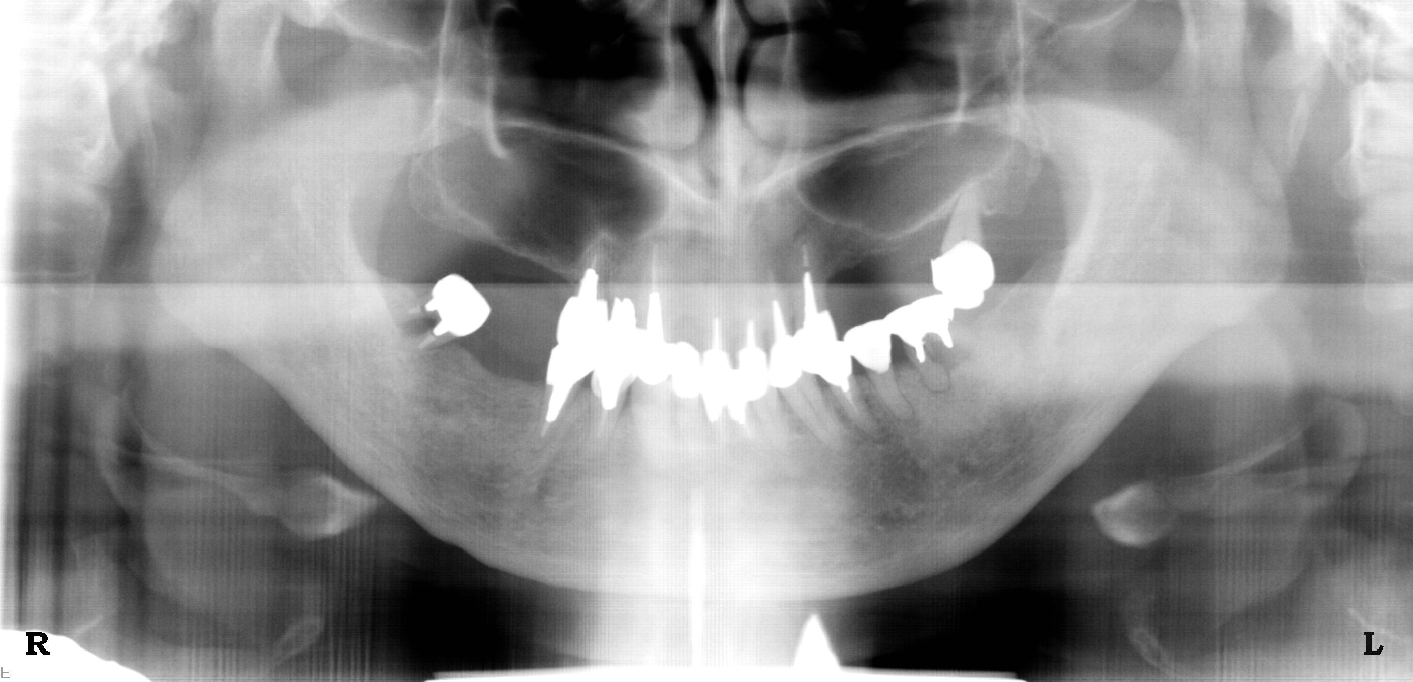
No.30HAコーティングインプラントを批判する方々へ
ページ上部へ戻る
RSS
Copyright ©
新宿の岸本歯科医院【公式】